UC Davis reports a full recovery from its recent patient, Atlas, after a displaced fracture

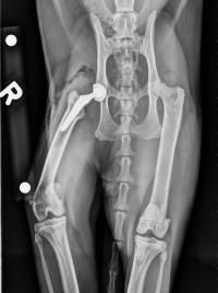
A 2-year-old male cheetoh cat (Bengal/ocicat cross) named Atlas came to the University of California, Davis School of Veterinary Medicine after a jumping accident left him lame. The Orthopedic Surgery Service at the UC Davis veterinary hospital took x-rays of Atlas, finding a displaced fracture of the right femoral head that would need surgery. After discussing the options with owners Sheila Dukas-Janakos and Ross Hite, Atlas received a total hip replacement, which utilizes a stem implant placed in the femur topped with a ball joint that interacts with a cup implanted in his pelvis.1

Total hip replacement is a procedure that is relatively new on cats, as there is limited research on the long-term effects. UC Davis was confident in this route for Atlas because the studies that have been done have shown positive outcomes. The university surgeons utilized a 3D computer assisted design planning system to aid them in the surgery. After a successful surgery, Atlas was hospitalized for a month to monitor his recovery. Once he was cleared to return home, he was placed back on strict cage rest for 2 more months.1
Three months post-operation, x-rays of Atlas showed success with the implant remaining in a stable position, and the cat’s gait was normal without noticeable lameness. Four months post-op and Atlas was allowed to slowly return to normal activity. The most recent update from Atlas’s owners came 8 months post-surgery and they reported that their cat is 100% recovered with no restrictions to his normal activities.1
“We couldn’t be more pleased with everything the UC Davis surgery team did for him,” Dukas-Janakos stated.1
Cases like Atlas have been in high demand for UC Davis recently so to combat this caseload increase for orthopedic surgeries, UC Davis is set to open the Center for Advanced Veterinary Surgery in the coming weeks. This standalone center will be located nearby the main veterinary hospital and will have 25 rooms and 7,300 square feet of space including 3 state-of-the-art operating rooms.1,2
All equipment for this new facility is funded fully by donors, so interested parties can visit the UC Davis website for more information and details.2
References