Identifying culprits of this allergic reaction to help veterinary teams save their patients’ lives
Anaphylaxis is more than just an everyday allergic reaction and being prepared to recognize and treat these pets in a timely manner is crucial. Anaphylaxis is the systemic, immediate hypersensitivity reaction that is mostly caused by the Immunoglobulin E (IgE) mediated immunologic release of mediators from mast cells and basophils. The best way to differentiate an anaphylactic reaction from other simpler Type I hypersensitivity reactions is to characterize it as systemic hypersensitivity reaction involving at least 2 organ systems (dermatologic, respiratory, cardiovascular, and gastrointestinal (GI)).
Anecdotally, it would seem we are seeing more severe, life-threatening anaphylactic reactions in the last 5 years, which may also be due to our improved recognition of the disease. These are often some of the most severely and acutely ill patients we see in practice, and without timely and accurate identification and intervention, mortality can be very high.

There are numerous causes of allergic and anaphylactic reactions including insect bites and stings, vaccines, or other drugs though many of our patients will have an unknown trigger. In this article we are going to focus on IgE mediated type I hypersensitivity.
Our 2 main “bad boys” of anaphylaxis are the mast cell and the basophil (Figure 1). Both release histamine and mast cells will also release heparin. These 2 mediators are stored in granules preformed so there is prompt degranulation and release from the cells. This occurs when an antigen (an allergen) attaches to an IgE antibody on the surface of the cells. The release of these granules occurs within seconds to minutes. Then within 5-30 minutes there is downstream activation of the arachidonic acid cascade which releases prostaglandin, leukotrienes, and platelet activating factor. About 2-6 hours post stimulation, there is release of cytokines and chemokines such as interleukins and Tumor Necrosis Factor alpha (TNFalpha).2
Histamine makes up about 70% of the weight of the basophils and mast cells so these cells pack a big punch. Histamine levels can be measured in plasma within one minute of an anaphylactic stimulus. The effects of histamine are based on the overlapping effect of the 4 histamine receptors.2 Main histamine driven effects are going to include cutaneous changes, respiratory effects, cardiovascular derangements, and GI and hepatobiliary changes. We will discuss more about the clinical presentation, but overall histamine receptor activation will cause vasodilation, increased vascular permeability, bronchoconstriction, heart rhythm disturbances (often tachycardia), and overall decrease in cardiac output driven by reduced cardiac contractility (inotropy).
The other granule mediator with early effects is heparin. Heparin will decrease clot formation but also can be a component of a hyperfibrinolytic state meaning there is an increase in clot breakdown. This means the animal can form a slower and weaker clot that is more prone to rapid breakdown and an inability to stabilize the clot.3
The arachidonic acid cascade occurs after this immediate granule release when phospholipase A2 catalyzes membrane phospholipids to arachidonic acid. Arachidonic acid is then further catalyzed via COX and LOX to prostaglandins, thromboxane, and leukotrienes.2 These are responsible for additional bronchoconstriction, pulmonary and coronary vasoconstriction, and peripheral vasodilation. Slow reacting substances of anaphylaxis SRS-A) are also formed and are 1000x more potent than histamine with a longer duration of action. These cause bronchoconstriction, permeability changes, and chemotaxis. They are likely involved in the more protracted reactions.2 Cytokines and chemokines are also released. These chemotactic factors draw more immune cells to the area which causes further inflammation especially important in some of the later stage effects.
A dog’s shock organ is the GI and hepatobiliary system and this information in conjunction with the knowledge of these 2 main granules will help explain the life-threatening effects seen in canine anaphylaxis. While there is peripheral vasodilation, alternatively there is portal hypertension meaning there is an increase in the blood pressure in the portal system which is the vascular bed to the GI and hepatobiliary system. This portal hypertension occurs due to increased arterial blood flow to the portal system (hepatic arterial vasodilation) but decreased outflow of blood from the liver (increased hepatic venous outflow obstruction).2
While increasing blood flow to tissues can be beneficial, when it becomes dysregulated it is detrimental to the tissues perfused causing ischemia and damage. When combined with the vascular permeability changes driven by heparin and the hypocoagulability effects from the heparin the effects are compounded.
Onset of an allergic and anaphylactic reaction are often rapid within 5 to 30 minutes with continued rapid progression. The time of onset and speed of progression are proportional to the severity of immunologic response so a bigger immune stimuli and mediator release will cause a quicker, more rapidly progressive and, therefore, more life-threatening response. There are also delayed reactions and biphasic reactions which can occur. These are often mediated by Ig other than IgE and are beyond the scope of this article, but it is important to note that there is thought that biphasic reactions may increase mortality.2
Cutaneous changes such as pruritis, rhinitis, peripheral edema/erythema, facial angioedema, and urticaria are generally thought to be mediated by the H1 receptors but H2 receptors also can cause some of these skin changes which is why they are so common in allergic reactions. These cutaneous signs may be a potential precursor to more severe reactions but are also often delayed or can be completely absent in rapid anaphylaxis.
Dogs with anaphylaxis rarely present with the expected hives/cutaneous signs we would use as signs of an allergic reactions with a recent study showing 57.9% of dogs with anaphylaxis had no cutaneous signs reported.4 When these cutaneous signs occur, they may wax and wane for days.
Cats will likely have more respiratory signs as the lung is their shock organ, but regardless of species, the respiratory tract is affected in anaphylactic reactions in multiple ways. This can be due to pulmonary changes caused by bronchoconstriction, vasodilation, and increased vascular permeability, which causes increased airway resistance, increased fluid leak and pulmonary edema. There can also be increased respiratory mucous production worsening airway resistance and potentially inhibiting gas exchange. Stridor or other signs of upper airway obstructive disease can also occur due to laryngeal and nasopharyngeal edema especially in patients with already compromised airway patency like brachycephalic dogs. Delayed respiratory effects can also occur due to the arachidonic acid pathway and chemokines/cytokines increasing inflammatory cell recruitment, platelet aggregation and damage to the pulmonary endothelium which can cause acute lung injury (ALI).
A recent study found 26.8% of dogs had respiratory signs with anaphylaxis, and respiratory distress was found to be associated with non-survival.4
In anaphylactic reactions, the first signs are often severe GI signs. Peracute GI signs including severe vomiting and diarrhea often hemorrhagic in nature are often the presenting complaint. These GI losses will then further contribute to hypovolemic shock. Vascular permeability changes and GI barrier function damage can also allow for bacterial and cytokine translocation and SIRS/Sepsis. Furthermore, as H2 receptors mediate gastric acid secretion, there can be significant increases in gastric acid production which can predispose these patients to gastric and duodenal ulceration.
Anaphylaxis can affect coagulation in multiple ways with severe anaphylaxis causing a global hypocoagulable state including decreased clot formation and clot formation, increased clot breakdown, and decreased platelet count.3 The cause of this coagulaopathy is multifactorial and at this time still not fully understood, but one major cause is due to the massive release of heparin. These animals will often have a mild to severe increase in aPTT (proportionally worse than PT). In simplified terms, this is due to the abundant effect of heparin on factor X activation as part of the intrinsic pathway.
Shock occurs due to a combination of causes. One study showed cardiovascular dysfunction in 42.1% of dogs with anaphylaxis.4 Hypovolemic shock occurs due to fluid losses notably in the GI tract or due to hemorrhage. Additionally, histamine can decrease cardiac contractility and cause arrhythmias thereby dropping cardiac output causing cardiogenic shock. Vasodilatory or maldistributive shock also occurs due to peripheral vasodilation. There is also metabolic shock due to the cytokine effects on cell function. These animals will often present hypotensive with other signs of severe malperfusion (dull mentation, low temperature, elevated lactate etc) but may have pink mucous membranes.
This peripheral vasodilation in shock is seen in cases of distributive shock like anaphylaxis and sepsis/SIRS as well as other conditions beyond the scope of this article. In addition to all these effects, it is important to note that histamine will also dampen the body’s response to catecholamines normally released in shock to thereby blocking the body’s ability to restore cardiac output, perfusion, and delivery of oxygen.
As there is no anaphylaxis point of care test and these dogs often do not present with telltale cutaneous signs, the necessary rapid identification can be difficult. Other non-specific signs such as rapid onset severe GI signs or shock/collapse should trigger the clinician to start looking for some markers seen in anaphylaxis. Alanine transaminase (ALT) elevation and gall bladder wall edema have been found to be markers of anaphylaxis and when combined with other findings should prompt consideration of the diagnosis.
An increase in ALT is commonly seen in anaphylaxis and often occurs very rapidly.4,5 ALT increases due to ischemia and hypoxia of the hepatocytes driven by alterations in blood flow as well as direct injury from cytokines to hepatocytes. ALT will generally be high in anaphylaxis with a sensitivity of 95% and specificity of 98%.5 It increases rapidly in less than 12 hours from insult, peaks usually in 1-2 days and will often return to normal in 2-3 weeks depending on the peak value.1
A halo or double rim effect to the gall bladder can occur almost immediately after insult due to portal hypertension and vascular permeability changes.1 Sensitivity of this marker is 93% with a specificity of 98%.5
Epinephrine is the first line treatment for anaphylaxis. It should always be the first drug reached for when all the above information triggers your suspicion of anaphylaxis.
Epinephrine is a mixed adrenergic receptor agonist. Among its effects, vasoconstriction increases blood pressure and decreases airway mucosal edema. Its positive inotropic and chronotropic effects increase cardiac output and blood pressure as well while its beta 2 effects cause bronchodilation. It will also suppress inflammatory mediator release by stabilizing the mast cell and basophil granule release and provides relief from urticaria.6
Epinephrine has a short duration of effects and can cause arrhythmias, hypertension, anxiety, tremors, or pallor but side effects are generally very mild especially when given IM or as a CRI. Dose recommendation is 0.01mg/kg IM with a max dose of 0.3 mg in patients <40 kg or 0.5 mg in patients >40kg.1 The dose can be repeated every 5-15 minutes as needed to help relieve signs. The author will give an immediate IM dose on suspicion for anaphylaxis. If shock or a hemoabdomen is identified, then a second IM dose is given before starting a CRI titrated to normalize blood pressure starting at 0.05 mcg/kg/min.
The author also treats other allergic reactions with epinephrine IM even if there are no “anaphylactic cues” as anecdotally it seems to help relieve hives sooner in these patients but there is currently no evidence to support this in canine patients.
Commercial epinephrine pens are usually not used as the needle is too short if a patient is obese (SQ injections are not recommended), you cannot dose <15 kg accurately, there is a short, labeled shelf life of 12-18 months, and they are very expensive.
Antihistamines are considered a second line drug in people and administration should never cause a delay of administration of epinephrine. Even though it is not a first line drug, blocking histamine is very important as part of treatment. Since there are overlapping effects from different histamine receptors consider blocking both H1 and H2 by pairing Diphenhydramine (2.2mg/kg IM, SQ, or PO every 8 hours) and famotidine (0.5-1mg/kg IM, SQ, or PO q 12 hours). We generally recommend continued antihistamine medications for 3-5 days as the lasting effects of the histamine release can cause wax and wane signs for a few days, especially the skin effects.
Glucocorticoids may have a couple purposes in allergic reactions, but their use is controversial in human medicine to treat anaphylaxis. Steroids do not generally have direct effects on the early symptoms of anaphylaxis such as dermatologic changes but their direct physiologic benefit in anaphylaxis is more directed in down regulating the late-stage response mediated by arachidonic acid and cytokines/chemokines or may help limit a biphasic reaction. The onset of action is about 4-6 hours regardless of route so again these are likely not helping as much as we may believe in the acute treatment. They can be useful in animals with upper airway swelling causing obstructive changes.
The author uses steroids in severe anaphylactic patients and simple allergic reactions in patients who are brachycephalic and have signs of upper airway obstructive disease regularly but does not use them in most other simple allergic reactions. Dosing may change based on clinical preference, but the author generally will start with a 0.1mg/kg dexamethasone dose IV, SQ, or IM then a tapering dose of prednisone depending on the clinical picture of the patient.
There are many factors that cause the potential for high mortality in anaphylactic patients if not treated correctly. The patients that have had the worst morbidity and mortality in the authors experience are those with severe hemoabdomen. Remember, these dogs have portal hypertension and this change, vascular permeability alterations, and coagulopathy will all set a perfect stage for intraabdominal bleeding.
Interestingly, not all dogs with hemoabdomen have been found to have coagulation testing abnormalities again confirming this is a multifactorial cause which can complicate treatment.3,7,8 Hemoabdomen ranging from mild to severe and rapidly fatal can occur and need to be the addressed immediately as the more an animal bleeds, the worse their coagulopathy will become further impeding our ability to treat. If there is evidence of an anaphylactic reaction and hemoabdomen, clotting times or viscoelastic testing should be evaluated but waiting on these tests may not be feasible to prevent worsening morbidity and mortality.

Rapid administration of the above epinephrine dose should be given along with plasma transfusion starting with 20ml/kg of fresh frozen plasma should be considered. These dogs often rapidly stabilize after epinephrine and plasma, but some need a larger volume of plasma, red blood cells, platelets, or fresh whole blood transfusions and prolonged epinephrine CRI to stabilize. If blood products are not available, the IM epinephrine recommendations should be followed immediately while looking for rapid transfer to a facility with blood product availability.

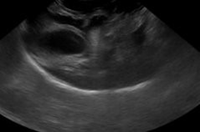
It is important to note that if ultrasound is performed on these patients, mass like hematomas have been noted especially in the liver due to the intraparenchymal bleeding (Figure 2). It is a clinical judgment call based on all the information of the case that will help you determine if this is a patient with a hemoabdomen due to a primary bleeding mass that needs surgical stabilization or if this is an anaphylactic patient with hepatic hematomas who needs rapid medical stabilization. These mass like lesions, if they are hematomas, should resolve over time on recheck ultrasounds (Figure 3).
As the treatment of these patients is so crucial, at the authors hospital we utilize a flow chart (Figure 4) in our training to help aid diagnostics and treatment.

General care for shock for these patients is instituted including fluid therapy, epinephrine CRI as needed, or dobutamine if there is continued hypotension and evidence of poor inotropy. Monitoring and correction of cardiac arrhythmias may be necessary. GI support is also important such as supported enteral nutrition via a nasogastric tube. Monitoring of organ function, hematologic variables, and other hemodynamics will vary based on the case presentation.
Jayme Hoffberg DVM, DACVECC, is Head of Emergency and Critical Care at Thrive Pet Healthcare Specialists in Hoffman Estates, a suburb of Chicago. She earned her Bachelor of Science degree and then her Doctor of Veterinary Medicine with high honors from the University of Illinois. She went on to complete a three-year residency in emergency and critical care at the Veterinary Teaching Hospital of Michigan State University before becoming an assistant clinical professor at the University of Wisconsin. Hoffberg has spent the last 10 years developing emergency and critical care departments and house officer training programs at multiple large private specialty hospitals. She finds excitement watching the quality of medicine and job satisfaction improve across an entire team when training and education is prioritized. Clinically, Hoffberg’s main interests are in extracorporeal therapies, polytrauma, and hematologic and coagulopathic conditions. Hoffberg is also a published author and co-author of multiple veterinary journals and publications.
References