Feel confident in your recommendations for dental products that your veterinary clients can use at home.
The Veterinary Oral Health Council: Proof in the pudding
Any of the thousands of dental home care products can make claims to decrease the accumulation of plaque or calculus. Only 32 dog and 12 cat products have achieved Veterinary Oral Health Council (VOHC) acceptance. Volunteer members of the independent VOHC are board-certified veterinary dentists and other experts in veterinary dentistry who help veterinarians and the public make wise home care decisions. VOHC awards its VOHC Accepted Seal only to products that decrease accumulation of plaque and/or calculus by at least 20 percent through a data review system.
The protocols for application are available at www.vohc.org. The VOHC does not perform the dental trials itself; rather, the manufacturer must perform scientific trials based on the VOHC standard protocols. They then submit their reports and results to the VOHC for the data to be reviewed. If the council is satisfied that the protocols were followed and that the results indicate a significant beneficial effect (at least 20 percent average plaque or calculus reduction compared with controls on two blinded studies), the product is granted the Seal of Acceptance.
There are two designations available. A product may be accepted as helping to control tartar or as helping to control plaque. Products may receive a dual designation if there is credible evidence that they do both. Click here for a table of VOHC-approved treat products.
Using a VOHC-accepted product should not imply that the dog or cat will not develop periodontal disease. Prevention and control of periodontal disease in susceptible animals require a multimodal approach, including diet, chew treats, home care and professional care.
Several years ago, over 1,000 combined dog and cat owners participated in an online survey conducted by Trone Brand Energy regarding consumer awareness and behaviors toward pet oral care.1 Only 20 percent of the dog and cat caregivers who owned pets more than 3 years of age felt their pets had any dental disease. Compare this to a study recently conducted by Banfield that revealed that approximately 93 percent of dogs and 88 percent of cats older than 3 years of age had some form of periodontal disease.2
The Trone study further reported that over 70 percent of dog owners took steps to provide dental healthcare for their pets the previous year.1 Of those that provided dental healthcare, 70 percent purchased treats, 30 percent fed their dogs dental diets, 30 percent reported they brushed their dogs' teeth, and, for dental attention, 25 percent saw their veterinarian and 10 percent their groomer. Cat owners scored about half of what dog owners did-35 percent for treats, 15 percent for diets, etc.-in the categories above.
How can we as veterinarians educate our clients better on the true degree of dental disease present and how to best control plaque and tartar (calculus)? What we recommend has to be safe, effective in decreasing the progression of plaque and calculus, and easy to administer. Dog and cat owners face hundreds of choices when choosing products, which work either by chemical (nonmechanical), mechanical or combined methodology. Unfortunately, unless there is a medical claim (“prevents gingivitis,” “cures periodontal disease”) regulated by the U.S. Food and Drug Administration, there is little to no oversight of statements regarding dental value.
Here is my guide to proven-effective products you can recommend to your veterinary clients-and some thoughts on what they should avoid.
Efficacy through mechanical action
Tooth brushing. Plaque and tartar accumulate very rapidly on scaled and polished clean teeth when pet owners don't practice follow-up oral hygiene. The gold standard to prevent the accumulation of plaque and tartar is daily tooth brushing (Figure 1).

Figure 1: A dog getting its teeth brushed. (All photos courtesy of Dr. Jan Bellows)Unfortunately, very few pet owners brush their pets' teeth enough to have a positive effect-less than 5 percent. In a study in beagles, a specific brushing protocol applied by trained technicians with a specific type of toothbrush resulted in a statistically significant reduction in mean mouth plaque and calculus scores when the dogs' teeth were brushed daily or every other day.3 Brushing less frequently was less effective, with no significant difference recorded for weekly or every-other-week brushing compared with the control group.
Diet. Hard food alone does not prevent plaque or calculus accumulation. Several complete and balanced adult pet foods are available. For example, Prescription Diet t/d (Hill's Pet Nutrition) has a kibble that is designed with a transverse, fibrous striated matrix structure. When chewed, the product fractures along the transverse striations and the animal's tooth is retained in the kibble, increasing the abrasive contact with the fractured layers. The teeth are abraded and mechanically cleaned by the surfaces of the fractured layers as the product is chewed. Unfortunately, those areas that the mechanical diets do not touch are not benefited.
Soluble dental chews. Some dental chews remove plaque or tartar mechanically (e.g. C.E.T. VeggieDent chew-Virbac). Again, those areas that the chews do not physically touch are not benefited.
Cotton-tipped applicators. Cotton-tipped applicators can be used to partially wipe away the daily accumulation of plaque surrounding the buccal and labial marginal gingiva. Cats are more receptive when the applicator is dipped in tuna water (Figure 2).

Figure 2: A cotton-tipped applicator applied to a cat's marginal gingiva.
Efficacy through nonmechanical action
Nonmechanical forms of plaque control include chemicals and natural ingredients to decrease the formation of plaque, the adhesion of plaque on the tooth surface and the formation of calculus through crystal growth inhibition, preventing mineralization of plaque and the transition of plaque into calculus.
Waxy polymers. When applied to professionally cleaned teeth, a wax polymer adheres to the tooth by electrostatic attraction (e.g. OraVet-Merial; Figure 3). In doing so, it inhibits bacterial adhesion to the tooth, which significantly decreases plaque and calculus formation by creating an invisible barrier that decreases bacterial attachment. While other products may remove plaque and tartar, waxy polymers constitute a plaque retention prevention system that is completely safe, tasteless and drug-free.

Figure 3: OraVet home care application.Dental sealant. Hydrophilic polymers form a film in the gingival sulcus, hindering plaque attachment to the gingival margin and sulcus (e.g. SANOS dental sealant-AllAccem; Figure 4). The positive effect is prolonged without the need for human attention. The mechanism of action relies on the dental sealant polymer film attaching to the surface at molecular level binding sites.

Figure 4: Application of SANOS dental sealant.Water additives. Developed to be added to a dog or cat's water source, these products can result in a significant reduction in the accumulation of plaque, tartar or both. In tests, a water additive (Vetradent-Dechra) resulted in a significant decrease in the accumulation of tartar compared to controls through the actions of zinc chloride, sodium citrate and citric acid.4 The citric acid stabilizes the zinc chloride, significantly inhibiting the release of volatile sulfur compounds and decreasing oral malodor. Additionally, sodium citrate works as both an antibiofilm and antimicrobial agent, chelating the minerals needed for biofilm formation and bacterial growth. Sodium citrate binds to calcium, keeping the calcium in a soluble form (as calcium citrate), making it unavailable to form tartar.
Chlorhexidine. Chlorhexidine gluconate is one of the leading products used to decrease the accumulation of plaque in people. In the oral cavity, it binds to a tooth's pellicle and is released over a prolonged period to provide sustained antimicrobial activity.
Chlorhexidine gluconate has a positive chemical charge, which is attracted to the negative charge on certain bacteria in the mouth. This attraction affects the bacterial cell membrane and causes increased permeability for immediate antimicrobial activity. Chlorhexidine gluconate is also attracted to negatively charged surfaces on oral tissue. This additional attraction results in a sustained action that can help prevent the formation of plaque. In people, chlorhexidine is positioned as an oral rinse to be swished for 30 seconds then expectorated twice daily. This is not feasible with companion animals. For this reason, chlorhexidine is commonly incorporated with a carrier vehicle (rawhide chew, dental wipe).
Soluble zinc salts. Zinc ascorbate, gluconate, oxide and chloride are incorporated in toothpastes, rinses and gels as antibacterial agents to help decrease plaque formation and malodor. After delivery into the oral cavity, 15 to 40 percent zinc is retained in the mouth. In one study, zinc ascorbate gel (Maxi/Guard Oral Cleansing Gel-Addison Biologic Laboratory) used as an oral antiseptic improved feline gingival health through decreased bacterial growth, plaque formation and gingivitis.5
Essential oils. Essential oils including thymol, eugenol, methanol, clove and eucalyptol have demonstrated efficacy in reducing plaque and gingival inflammation in human patients.
Efficacy through mechanical plus nonmechanical actions
Addition of delmopinol. Delmopinol is a surface-active anti-plaque surfactant agent (e.g. OraVet Dental Hygiene Chew-Merial). Studies have shown that it is capable of reducing and delaying dental plaque formation as well as reversing gingivitis.6-10 The clinical efficacy of delmopinol is due to a reduction of surface-associated glucan synthesis that lowers the cohesion and attachment of dental plaque.
Addition of polyphosphates (sodium hexametaphosphate, sodium tripolyphosphate). These sequestrants bind salivary calcium, making it unavailable for incorporation into the plaque biofilm to form tartar and decreasing the buildup of rough tartar to help prevent additional plaque
Addition of chlorhexidine. This ingredient in a rawhide chew (C.E.T. HEXtra dog chews-Virbac) showed increased efficacy against plaque, tartar and gingivitis compared to a rawhide chew without chlorhexidine.11
Addition of polyphosphates to dental diet. This helps by combining mechanical and chemical effects. (e.g. Prescription Diet Dental Care Chew-Hill's Pet Nutrition).
Toothpastes with calcium peroxide (Calprox) dissolve the pellicle layer to decrease the accumulation of plaque. PetSmile toothpaste (Supersmile) is the only dentifrice accepted by the Veterinary Oral Health Council (VOHC).
Dental wipes. These are a favorite dental home care product chosen by veterinarians to use on their own dogs (e.g. DentAcetic Dental Wipes with sodium hexametaphosphate-Dechra; MAXI/GUARD Oral Cleansing Wipes with zinc-Addison Biological Laboratory). Infused wipes mechanically remove plaque plus apply plaque control agents to the teeth and gingiva (Figure 5).

Figure 5: Applying a dental wipe.
Safety of home care products
Safety concerns include choking, secondary chemical or mechanical gastrointestinal inflammation, and obstruction. Clients may take for granted that the plaque control products they buy in our offices, in stores or online are safe.
Choking. According to Injury Facts 2017, choking is the fourth leading cause of human unintentional injury death; 5,051 people died from choking in 2017.12 What causes a person or animal to choke? Generally eating too much too fast. This can become a serious issue in dogs that go into a gulping frenzy when given an appealing treat or chew.
Treats, kibble, soluble dental chews and rawhide chews have been implicated in choking injuries and deaths in dogs. It is essential that our clients be instructed to offer only the weight-appropriate product and to observe their pets during chewing. Chews and rawhide products should not be fed to dogs that gulp, not only because of the choking risk but also because if the chew barely stays in the mouth, its positive dental effect is lost.
In order to reduce the risk of choking, pet caregivers should adhere to these safety tips:
• All pets should be observed when chewing on a treat.
• Those dogs that gulp rather than chew should not be fed rawhide chews or large treats.
• Pet caregivers should be instructed on how to remove lodged treats from their pets' mouths or throats.
• Pet caregivers should carefully read warning labels on chews and dental devices before giving them to their dogs or cats.
Gastrointestinal inflammation. Those products that claim control of plaque through chemical means must also be safe for the dog or cat to ingest. Excessive protein, preservatives and ingredients such as grain alcohol and xylitol may cause injury to a dog or cat.
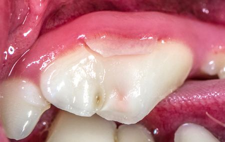
Safety against tooth fracture. Chews that are rigid can lead to fractures of the carnassial teeth. Deer antlers, bones, nylon products, dried yak milk, pizzle sticks and hard plastic toys claim mechanical plaque and calculus advantages, but unfortunately they are so hard that chewing can result in tooth fracture with pulp exposure. Clients should be cautioned against feeding bones, nylon toys or any product that does not easily bend, compress or dissolve when placed in a fluid environment. This is especially important for dogs that hold the treats with their paws while chewing on the side teeth (Figure 6).

Figure 6: A maxillary fourth premolar slab fracture after chewing on a deer antler.
References
1. Data on file, Greenies Oral Healthcare Study, January 2011.
2. Banfield Pet Hospital State of Pet Health Report, 2016: https://www.banfield.com/state-of-pet-health/common-conditions.
3. Harvey C, Serfilippi L, Barnvos D. Effect of frequency of brushing teeth on plaque and calculus accumulation, and gingivitis in dogs. J Vet Dent 2015;32(1):16-21.
4. Yakandawala N. 84-day evaluation of StrixNB in the chemical prevention of plaque, calculus, gingivitis and halitosis in beagle dogs. 2014. Unpublished clinical study, Dechra.
5. Clarke DE. Clinical and microbiological effects of oral zinc ascorbate gel in cats. J Vet Dent 2001;18:177-183.
6. Vassilakos N, Arnebrant T, Rundegren J. In vitro interactions of delmopinol hydrochloride with salivary films adsorbed at solid/liquid interfaces. Caries Res 1993;27:176-182.
7. Steinberg D, Beeman D, Bowen W. The effect of delmopinol on glucosyltransferase adsorbed on to saliva-coated hydroxyapatite. Arch Oral Biol 1992;37:33-38.
8. Rundegren J, Arnebrant T. Effect of delmopinol on the viscosity of extracellular glucans produced by Streptococcus mutans. Caries Res 1992;26:281-285.
9. Data on file, Merial Inc.
10. Periodontal disease. American Veterinary Dental College website: http://www.avdc.org/periodontaldisease.html
11. Rawlings JM, Gorrel C, Markwell PJ. Effect on canine oral health of adding chlorhexidine to a dental hygiene chew. J Vet Dent 1998;15:129-134.
12. National Safety Council Injury Facts 2017. Itasca, Illinois, 2017.